MARBRES ET MARBRERIES DU JURA
- Dossier IA39001234 réalisé en 1988 revu en 2009
- Auteur(s) : Laurent Poupard
Présentation
Du marbre dans le Jura ?
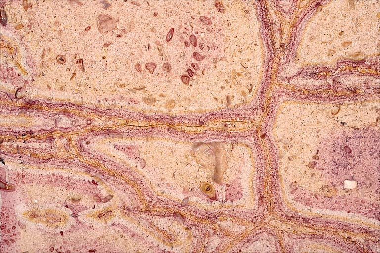
Pour un géologue, le marbre est un calcaire ou une dolomie métamorphisés, autrement dit une roche carbonatée contenant au moins 50 % de calcite ou de dolomite et qui a subi une transformation à l'état solide à la suite d'une élévation de température et/ou d'une augmentation de pression. Cette modification occasionne une recristallisation et un accroissement de la dureté qui permettent au marbre d'acquérir le poli, la présence d'impuretés lui donnant sa coloration (carbone pour le noir, le gris et certaines teintes bleutées, oxydes de fer pour le rouge, sels de manganèse pour le violet, etc.). Il en résulte un matériau de choix pour l'ornementation, où couleur, dureté et poli sont appréciés.C'est cette dernière caractéristique qui, retenue par l'industrie de la pierre, élargit considérablement le domaine d'intervention du marbrier. En effet, ainsi que l'indique en 1866 Théodore Château dans sa Technologie du bâtiment, sont alors réunies sous l'appellation marbre « toutes les espèces de pierres susceptibles du poli ; c'est pourquoi les anciens ont compris dans le nombre des marbres les granites, les porphyres, les jaspes et les albâtres. »
Actuellement, l'appellation marbre est entendue suivant son sens géologique ; les pierres marbrières, ou pierres froides, ne regroupent quant à elles que des pierres calcaires très dures susceptibles de poli. Alors : du marbre dans le Jura ? La réponse des géologues est bien décevante : ce département ne renferme pas le moindre marbre.
Néanmoins, depuis le 16e siècle au moins, marbriers et artistes ont mis en œuvre nombre de pierres marbrières locales (calcaires et albâtre essentiellement), regrettant leur fragilité ou, tout au contraire, se félicitant de leur qualité et de leur variété.
Ainsi le sculpteur Michel Colombe, « tailleur d'ymaiges du roi », écrit-il en 1511 à propos de l'albâtre de Saint-Lothain : « pourveu que la dicte pierre soit tirée en bonne saison et les moyens bancs découvertz avec grand et ample descombre, fait sur le bon endroit, c'est très bon et très certain marbre d'albastre, très liche [lisse] et très bien polissable en toute perfection et un trésor trouvé au pays de ma dicte dame, sans aller cuérir austres marbres en Italie ny ailleurs ; car les autres ne se polissent point si bien et ne gardent point leur blancheur, ains [mais] se jaunissent et ternissent à la longue. »
Malgré un avis aussi autorisé, les pierres du Jura peuvent difficilement se comparer aux vrais marbres, d'Italie ou d'ailleurs. Elles ont toutefois connu, au niveau régional puis national, une célébrité certaine justifiant l'appellation donnée par les marbriers que, par commodité, nous adopterons. C'est ainsi que, dans l'état actuel des recherches, des marbres ont été reconnus dans 93 des 543 communes que compte le département du Jura, l'exploitation ayant été pratiquée au cours des siècles de manière sûre dans 66 d'entre elles. L'extraction d'albâtre gypseux est par ailleurs avérée dans 5 communes. Si les faciès sont nombreux, les plus connus sont ceux de Sampans, Damparis, Miéry et Saint-Lothain, auxquels il faut ajouter la brèche de la Maladière (Saint-Amour), la brocatelle de Chassal et le Jaune fleuri de Pratz.
Rappel géologique
Si les géologues ne reconnaissent pas le titre de marbre à ces roches, ils nous éclairent sur leur origine et sur leur répartition. Patrick Rosenthal (maître de Conférences au Département Géosciences, Université de Franche-Comté, Besançon) présente ainsi l'évolution géologique locale :« L'histoire du Jura commence il y a 245 millions d'années, avec le cycle orogénique alpin, succédant au cycle varisque responsable de la formation du socle cristallin du Jura, qui n'affleure que dans les Vosges, dans le Massif Central et dans le petit massif de la Serre au nord-est de Dole. Dès le Trias, les roches qui constituent le Jura s'élaborent, essentiellement sous le niveau de la mer. Au Jurassique et au Crétacé (entre -200 et -100 millions d'années), s'accumulent 1 000 à 1 500 m de sédiments marins en couches successives sur les dépôts de grès, marnes, sel et gypse triasiques. Ces matériaux sont essentiellement formés de calcaires fins, graveleux, ou oolithiques (les oolithes sont des sphères millimétriques constituées de couches concentriques de calcaire). Les calcaires renferment souvent des bioclastes, fragments d'organismes fossiles - tels que les échinodermes (entroques), les coraux, les mollusques et les bryozoaires - ou encore des encroûtements algaires (oncholithes). La sédimentation calcaire est parfois interrompue par quelques épisodes marneux. Depuis 35 millions d'années, le socle et la couverture sédimentaire subissent des déformations liées à la collision alpine responsable des failles et des plis du Jura.
C'est dans ce contexte mouvementé que s'élaborent les conglomérats et les brèches et qu'apparaissent, au cœur de la roche, des plans de dissolution hérissés de pics (stylolithes) et des fissures ouvertes où recristallise la calcite.
Entre les plaines suisse et bressane, où les calcaires secondaires sont enfouis sous deux à trois kilomètres de sédiments tertiaires, l'arc jurassien constitue un môle rocheux où les calcaires forment des lignes de relief nord-est / sud-ouest. Milieux de sédimentation variés et déformations intenses fournissent aux hommes une grande variété de pierres calcaires, voire gypseuses, aux propriétés physiques et mécaniques satisfaisantes pour donner après polissage un marbre ou un albâtre de qualité.
De Dole à Saint-Claude, on traverse les principales unités structurales du Jura, où la géologie commande la distribution des sites. On rencontre successivement le Dolois avec des marbres du Jurassique moyen et supérieur, la zone bressane où les calcaires sont absents, le Vignoble et le Revermont renfermant les albâtres du Trias, les marbres noirs à gryphées (huîtres arquées) du Sinémurien et les nombreuses carrières de marbres à entroques du Bajocien. Sur le plateau de Champagnole s'extrayaient les marbres du Jurassique supérieur et dans le Haut Jura, les marbres et brocatelles du Jurassique supérieur et du Crétacé. »
L'exploitation des marbres jurassiens de l'Antiquité au 18e siècle
Contrairement à ce que pensaient les érudits du 19e siècle, les roches jurassiennes ne semblent, durant l'Antiquité, pas avoir été mises en oeuvre en tant que pierres marbrières. Une étude récente menée par Danielle Decrouez (conservateur en chef, Muséum d'Histoire naturelle, Genève) et Robert Le Pennec (archéologue, Saint-Claude), tant sur les fouilles en cours en Franche-Comté que dans les collections des musées, ne permet pas de retrouver le moindre marbre jurassien. Tout au plus signalent-ils comme pierre locale, pour des échantillons issus de Besançon (Doubs) et Villards-d'Héria (Jura), une lave volcanique de couleur verte qui pourrait être du porphyre de Belfahy (Haute-Saône) et des granites provenant peut-être des Vosges.L'utilisation du marbre jurassien est certaine pour la fin du Moyen Age, avec des carrières attestées à Montagna-le-Reconduit, Loisia, Miéry et Sampans, et, pour l'albâtre, à Foncine-le-Bas, Salins-les-Bains et Saint-Lothain.
Aisé à travailler, d'un aspect agréable, adapté à la statuaire, ce dernier est mis en œuvre dans une réalisation de prestige : la sculpture des tombeaux de l'église de Brou, à Bourg-en-Bresse (Ain), voulus par la régente des Pays-Bas Marguerite d'Autriche et achevés en 1531. Plus généralement, l'albâtre du Jura est utilisé à cette époque pour nombre de statues de Bourgogne et de Franche-Comté, mais aussi pour des pièces de moindres dimensions tels ces profils d'empereurs romains et celui du cardinal Granvelle commandés, au milieu du 16e siècle, au sculpteur salinois François Landry par la femme du chancelier Granvelle pour son palais bisontin et réalisés en albâtre de Boisset (lieu-dit de la commune d'Aresches, près de Salins).
Au milieu du 16e siècle, à Dole, capitale de la Comté, s'ouvre un atelier de sculpture ornementale dont les œuvres, faisant appel aux marbres locaux, vont contribuer au déclin du gothique flamboyant face à l'italianisme de la Renaissance. Cet atelier se développe autour de deux sculpteurs, Denis le Rupt (?-vers 1583) et Claude Arnoux dit Lulier (vers 1510-1580), originaires de Gray. Ornemaniste, Denis le Rupt porte à son épanouissement le goût comtois pour la polychromie, alliant le blanc de l'albâtre au noir de la pierre de Miéry - issue d'un niveau géologique qui s'exploite aussi à Thoraise et à Torpes, près de Besançon - et au rouge du marbre de Sampans. Lulier complète le Rupt pour ce qui relève de la statuaire et des reliefs. Ainsi pour le décor de la chapelle d'Andelot, réalisée de 1556 à 1563 à l'église de Pesmes (Haute-Saône), en association avec le Pesmois Nicolas Bryet.
Après la conquête de la Franche-Comté par Louis XIV en 1678, la production d'œuvres d'art en marbre reprend alors que se répand l'usage des cheminées dans l'hôtel particulier et la maison bourgeoise.
C'est à partir de cette époque que sont fabriqués ces autels qui se retrouvent dans nombre d'églises de la région et allient aux marbres jurassiens (rouge et jaune de Sampans et Damparis, et noir de Miéry, presque toujours présents) des marbres étrangers (blanc de Gênes par exemple). Tel est le cas pour la chapelle du Collège de l'Arc, célèbre par le retable réalisé en 1742 par François Franque, associant marbres de Sampans et Damparis et, peut-être, Audelange.
L'apogée au 19e siècle
Avec l'instauration d'un régime protectionniste, la première moitié du 19e siècle voit une lente montée en puissance de l'industrie marbrière jurassienne, qui se concentre autour de trois centres principaux : Molinges (en aval de Saint-Claude), Saint-Amour et Damparis (près de Dole).L'histoire de chacun de ces centres pourrait commencer par « il était une fois une carrière », tant il est vrai que c'est la présence de la matière première qui a commandé l'installation de chaque marbrerie. A l'exception de la région de Dole, où sa présence est connue depuis le 16e siècle au moins et où la commune de Sampans compte 15 carrières en 1812 et celle de Damparis 17, la découverte du marbre semble relever du hasard ou d'observations fortuites. Elle n'est pas le fait d'hommes de l'art mais plutôt d'esprits curieux, éclairés et entreprenants. Ainsi, la découverte de brocatelle (une sorte de marbre bréchique) à Chassal en 1768 est-elle due au curé du lieu, Jérôme Clerc. De même, la réintroduction de la marbrerie à Saint-Amour en 1815, au moulin Rentreux, est-elle l'oeuvre du percepteur du canton, Louis-Nicolas Chambard.
La seconde moitié du 19e siècle représente l'âge d'or de la marbrerie jurassienne. L'expansion économique, la rénovation des grandes villes (à commencer par le Paris du baron Haussmann) et l'évolution des constructions avec l'apparition du « confort moderne », incluant la cheminée, favorisent son développement. La construction des voies ferrées (ligne Dijon - Besançon via Dole en 1855-1856, ligne Lyon - Besançon via Saint-Amour en 1864, percement du tunnel du Mont-Cenis donnant accès à la Suisse et à l'Italie en 1871) permet l'ouverture de nouveaux marchés mais, simultanément, entraîne la fermeture de la plupart des carrières locales, dont le matériau ne peut concurrencer les marbres étrangers, de bien meilleure qualité.
A Molinges, près de Chassal, une première usine bâtie dans les années 1770 disparaît à la Révolution. Une deuxième société se crée en 1822 mais l'entreprise ne prend réellement son essor qu'après 1849, avec la société Dargaud et Compagnie fondée par le parisien Joseph Dargaud, et, plus encore, à partir de 1865, avec la Compagnie de la Marbrerie de Molinges d'Emile Gauthier, chef de division à la préfecture de l'Ain. Son fils, Nicolas (1852-1924), développe encore l'exploitation de la brocatelle mais acquiert aussi, ou loue, des carrières à Pratz et Viry (Jura), Uchentein et Balacet (Ariège), Cazedarnes et Cessenon (Hérault), Baixas (Pyrénées-Orientales) et Cesana Torinese (en Italie, face à Briançon). Employant jusqu'à 120 ouvriers, la société propose à ses clients le choix entre 140 variétés de roches différentes. Outre les objets et le mobilier, elle fournit, par exemple, des éléments pour le décor du casino de Cannes, de la basilique de Lisieux et du théâtre de Caracas.
A Saint-Amour, l'industrie marbrière redémarre avec l'arrivée, en 1864, de Maurice Célard, auparavant contremaître à Lyon puis à Paris. Célard modernise les installations qu'il loue ou qu'il achète et privilégie les marbres de qualité, importés. D'autre part, vers 1865, une nouvelle usine est construite par Pierre Mourlot dans le village voisin, Balanod. Ces deux communes vont ainsi totaliser une quinzaine d'établissements, occupant plus de 120 personnes (sans compter les carriers ni les polisseuses à domicile) : six scieries, modernisées durant les décennies 1880-1890 et localisées dans d'anciens moulins, et une dizaine de marbreries.
Dans la région doloise, les nombreuses carrières, exploitées artisanalement, fournissent surtout des blocs ébauchés. Deux établissements se distinguent au 19e siècle : l'entreprise Ragoucy, de Belvoye (commune de Damparis), et la Société d'Exploitation des Carrières de Tinseau, fondée en 1857, d'une autre envergure.
Alphonse et Paul de Tinseau font de leur château de Saint-Ylie le siège de cette société et ouvrent à Belvoye des carrières d'une pierre qui va faire le bonheur des architectes parisiens : un calcaire très pur, ingélif et qui possède une très grande résistance à l'écrasement alliée à la faculté de prendre le poli. Ainsi, comme celui de Sampans qu'ils extraient également, ce matériau pourra au choix être utilisé comme pierre de construction ou comme marbre. Desservie par le canal du Rhône au Rhin puis par la voie ferrée, leur affaire est reprise en 1870 par un parisien, Adolphe Violet, qui la développe. Elle emploie jusqu'à 500 personnes avant de disparaître au cours de la décennie 1890.
Si les de Tinseau avaient fourni la pierre utilisée à Paris pour des édifices aussi divers que le bassin de la fontaine Saint-Michel, les colonnes monolithes soutenant les voûtes de l'église de la Trinité, le pont au Change ou le soubassement et diverses colonnes et balustres du Palais Garnier, Violet citait comme référence dans la capitale le soubassement de l'Hôtel de ville et le dallage de la cathédrale Saint-Denis, le monument des Girondins à Bordeaux, le théâtre de Genève ou le piédestal de la statue de la Liberté.
Le déclin au 20e siècle
Le ralentissement des grands chantiers de construction parisiens, l'arrivée en force de nouveaux matériaux industriels et de nouveaux éléments de confort (chauffage central notamment), les deux conflits mondiaux, la nécessaire mécanisation de l'extraction - pour des roches qui ne s'y prêtent pas forcément - et de la fabrication sont autant de facteurs qui expliquent le déclin de la marbrerie jurassienne. Plus encore, le 25 mars 1957 est signé le traité de Rome, prévoyant l'ouverture des frontières et la disparition des barrières douanières. Ainsi s'écroule la protection assurée depuis le début du 19e siècle aux marbreries françaises : jusqu'alors, les droits de douanes taxant l'importation des marbres étrangers s'élevaient à 5 % sur les blocs bruts et à 30 % sur les tranches et les matières ouvrées. Les industriels français avaient donc tout avantage a importer des blocs et à les scier sur place pour obtenir des tranches. Désormais, ils doivent faire face à la concurrence de pays mieux organisés, l'Italie notamment. Ce traité entérine, au niveau national, la disparition de nombreuses scieries de marbre.Dans la région doloise, la société de Tinseau puis Violet fait faillite avant 1900 et la société Ragoucy (devenue Société anonyme des Carrières et Usines de Belvoye et Corgoloin) disparait en 1923. Quelques exploitations artisanales subsistent alors dont la dernière, à Damparis, ferme en 1935. Depuis, les carrières sont exploitées pour la fabrication du concassé destiné aux routes.
Ses deux fils étant morts à la fin de la Première Guerre mondiale, Nicolas Gauthier vend en 1920 l'usine de Molinges à la société lyonnaise des Marbres, Pierres et Granits. Absorbée en 1972 par le groupe Rocamat, l'entreprise en subit la politique. La brocatelle prenant de la valeur, la carrière est surexploitée si bien que le marché, submergé, ne peut absorber sa production et que la marbrerie ferme en 1984 (elle a été rasée depuis). Rocamat réalise encore deux extractions à ciel ouvert, en 1988 et 1996, puis rend la carrière à son propriétaire, la commune.
Dès le premier quart du 20e siècle, la raréfaction des commandes de cheminées et de monuments commémoratifs et funéraires signe la fin de l'âge d'or des marbreries de Saint-Amour.
Trois établissements seulement subsistent dans les années 1920-1930 : Carron au moulin Rentreux, Célard au moulin Febvre et Yelmini Artaud, descendant de Mourlot, à Balanod. Tous essaient de s'adapter aux changements. Carron s'oriente vers le sciage à façon pour des marbreries lyonnaises mais ferme dans les années 1970. Il est racheté par la S.A. Yelmini Artaud en 1993, un an avant Célard qui avait poursuivit ses chantiers de restauration et produisait des éléments pour le bâtiment. Employant quelques 55 personnes en 1974, Célard avait misé sur la qualité pour résister, particulièrement sur des productions spéciales à haute valeur ajoutée - telles le mobilier à incrustation -, mais végétait depuis 1979, faute d'un successeur issu du métier.
La S.A. Yelmini Artaud avait elle aussi choisi le créneau des éléments pour le bâtiment, avec carrelages, escaliers, devantures de magasins et façades d'immeubles, sans toutefois négliger décoration et aménagement intérieur (salles de bain ou halls par exemple).
Dernière marbrerie de la région de Saint-Amour et seule marbrerie industrielle du Jura, elle a préservé un savoir faire certain qui lui permet de ne plus compter les réalisations de prestige qui, sorties de ses ateliers, ont traversé mers et océans, à destination des émirats arabes notamment. Elle s'est distinguée en 1995 et 1996 par les revêtements muraux et de sol du paquebot Splendor of the Seas, et, par exemple, participe actuellement aux grands chantiers de construction de Berlin. Travaillant des marbres de toute origine, dont ceux de Chine, elle cherche cependant à promouvoir les marbres français, mettant en œuvre celui de Balanod même et, surtout, le Bleu de Savoie de sa carrière d'Aimé (matériau qui lui a permis de survivre aux crises de ces dernières années). En 2006, elle s'est réorganisée et a réuni sur un seul et même site, à Saint-Amour, dans une usine ultramoderne, les ateliers et machines autrefois répartis sur trois sites.
Techniques d'extraction et de mise en forme
Aux 19e et 20e siècles, le marbre est extrait à ciel ouvert, dans une carrière dont la physionomie est dictée par la topographie, la disposition des bancs de pierre et l'évolution des techniques.La première opération de l'exploitation est la découverture de la roche ou évacuation des morts-terrains dits découverte. Lorsqu'elle devient trop importante donc trop onéreuse, le site est abandonné. Une exception : la carrière de Chassal où, la valeur du matériau aidant, l'extraction se poursuit en souterrain à partir de 1929. Une fois l'aire d'extraction dégagée, commence l'exploitation qui s'effectue en gradins ou en fosse. Ce dernier système est mis en œuvre à Damparis (au Trou-de-la-Grue) , à Pratz et à Graye-et-Charnay pour la carrière des Carrats.
L'extraction proprement dite s'effectue longtemps avec des coins placés dans des fissures naturelles ou dans des saignées tracées au pic ou à la broche. A l'inverse de l'outillage des tailleurs de pierres, ce sont les massettes - en acier doux - qui s'usent, les broches étant elles en acier dur. D'abord en forme de prisme, puis ronds mais alors placés entre des joues, tiges plates métalliques facilitant leur passage, les coins sont forcés à la masse, plus lourde que la massette. Le bloc est finalement détaché à la pince à talon, de gros crics aidant à la manœuvre. Occasionnant trop de pertes dans un matériau coûteux, la poudre est peu utilisée. Placé sur des rondins de bois, le bloc est finalement traîné sur l'aire de stockage à l'aide d'un treuil, encore en place dans la carrière des Carrats. Là, il est chargé sur un lourd chariot bas (un fardier, parfois appelé malbrough) tiré par des chevaux ou des bœufs.
Parmi les perfectionnements apparus à la fin du 19e siècle, le plus marquant est le fil hélicoïdal, cordelette d'acier montée en boucle et entraînant un produit abrasif dont le frottement use la roche. Mis en œuvre en Belgique à partir des années 1880, il est utilisé à Pratz dans la décennie suivante puis à Chassal. Le 20e siècle va tirer profit des énergies pneumatique et électrique, mais l'évolution la plus importante réside surtout dans les domaines de la manutention (camions, portiques roulants et grues automotrices) et du sciage, avec l'utilisation des outils diamantés (installé à Chassal dans les années 1980, un fil diamanté va alors considérablement y augmenter la vitesse de sciage).
Transporté à la scierie, le bloc de marbre y est découpé en tranches d'épaisseur variable à l'aide d'un châssis multilames - l'armure -, introduit en France peu avant la Révolution. Le principe est celui de la scie à pierre dure manuelle : le marbre n' est pas scié avec une lame dentée mais usé par le frottement d'une lame d'acier sur du sable arrosé d'eau. De là l'importance de l'approvisionnement en sable - fourni en abondance par la plaine bressane à Saint-Amour, Molinges l'extrayant d'un gisement à Viry - et en eau, utilisée comme source d'énergie aussi bien que pour le sciage.
Les tranches sont ensuite débitées suivant le tracé donné par un gabarit puis, le cas échéant, moulurées. Toute la gamme du perçage, du tournage et de la sculpture est également pratiquée. Finalement vient le polissage, à la machine ou à la main : se succèdent dressage, égrisage, adouci, poli mat puis poli brillant, qui peut être suivi d'une dernière opération, l'encausticage. Presque toujours indispensable, le masticage intervient entre l'égrisage et l'adouci.
Rapide aperçu de la production
De qualité insuffisante, les marbres jurassiens n'ont pas été utilisés pour la statuaire à l'exception notable de l'albâtre. Des textes d'archives, confirmés par l'observation directe, attestent l'utilisation d'albâtre de Saint-Lothain à l'église de Brou au 16e siècle pour la réalisation des tombeaux de Philibert le Beau et de Marguerite d'Autriche : gisants inférieurs (oeuvre de Conrad Meit, achevés en 1531), décor architectural et statuettes de sibylles. La statue de la Trinité conservée en l'église de Saint-Lothain est dans ce même albâtre gypseux.La construction et la décoration architecturale font appel à des produits variés : pilastres et colonnes, panneaux muraux, plinthes, dallages, escaliers, devantures, etc. Se distinguent particulièrement les réalisations du 16e siècle, tel l'ensemble des 24 colonnes en marbre de Sampans animant la façade de l'hôtel de ville de Gray (Haute-Saône), bâti à partir de 1567 par Richard Maire. Le 19e siècle n'est pas en reste, loin de là : signalons seulement, à titre d'exemple, les colonnes de l'église de la Trinité (1861-1867) à Paris, due à Ballu, en Pierre du Jura provenant des carrières de Damparis.
L'ameublement civil et religieux offre de nombreux exemples d'oeuvres. La chaire à prêcher de la collégiale de Dole est la deuxième d'une série de cinq réalisées par l'Atelier dolois ou ses successeurs : datée de 1555 environ, elle associe les trois couleurs préférées de cet atelier, le rouge (de Sampans), le noir (de Miéry ?) et le blanc (de l'albâtre pour les statues d'origine).
Si les 18e et 19e siècles fournissent en abondance des exemples d'autels et de bénitiers, une place à part doit être faite à la production reine du 19e siècle : la cheminée. Chaque société lui consacre un catalogue, faisant généralement référence aux mêmes modèles, ce que Maurice Darras dénonce dans son manuel sur La marbrerie, en 1912 : « En effet, le catalogue qui régit le commerce des cheminées en France, et principalement à Paris émane d'un cerveau belge à qui les questions d'art sont plus indifférentes que celles des bénéfices commerciaux. Ses confrères ne voulant pas risquer les suites des efforts cérébraux que leur aurait causées la création d'un catalogue concurrent, se sont simplement contentés de changer les numéros, sans varier les modèles, et on ne conçoit plus de cheminées hors du catalogue type admis même par les auteurs des séries plus ou moins officielles. » II est vrai qu'en ce domaine, les catalogues des marbreries ne brillent pas par leur originalité. Ils proposent néanmoins un grand choix de modèles de cheminées « en kit », se distinguant les unes des autres par des combinaisons différentes d'ornements, qui sont expédiées par wagons entiers dans toute la France.
Historique
Le Jura est renommé pour ses calcaires (qui ont donné son nom à une période géologique), dont certains ont une dureté et une coloration suffisante pour, une fois polis, rappeler le marbre. Des pierres marbrières ont donc été extraites dans 66 de ses 543 communes (71 en y incluant l'albâtre gypseux, seul adapté à la statuaire) et ce, de manière avérée, depuis la fin du Moyen Age. Essentiellement religieuse, la production marbrière jurassienne de la Renaissance joue volontiers sur une polychromie fondée sur trois couleur : le rouge de la pierre de Sampans, le noir de Miéry et le blanc (marbre d'Italie ou autre). Le 18e siècle voit un élargissement de l'éventail des couleurs et des productions (avec toutefois une nette prédominance des cheminées, des autels et des bénitiers). Au siècle suivant, la production est sérielle, colorée et diversifiée : les chemins de fer amènent des marbres des pays voisins travaillés pour produire en série cheminées, dallages et revêtements muraux, devantures, salles de bains, etc. Le développement proprement industriel de cette activité date de la seconde moitié du 19e siècle, lorsque la demande est stimulée par la prospérité économique, l'expansion des moyens de transport (voies ferrées et canaux), la rénovation des grandes villes (le Paris haussmannien par exemple) et la généralisation du "confort moderne" (multiplication des cheminées dans les appartements, etc.).
Cette industrie a laissé des traces - carrières et usines dans trois zones principalement : la région doloise où la commune de Sampans comptait 15 carrières en 1812 et celle de Damparis 17, la région de Chassal et Molinges (au sud-ouest de Saint-Claude) où une brocatelle (marbre bréchique) est découverte en 1768, celle de Saint-Amour où l'industrie marbrière apparaît au 16e siècle puis est réintroduite en 1815. Dans cette dernière zone, l'industrie redémarre réellement en 1864-1865 sous l'impulsion de Maurice Célard à Saint-Amour et de Pierre Mourlot dans le village voisin, Balanod. Les deux communes vont ainsi totaliser une quinzaine d'établissements, occupant plus de 120 personnes (sans compter les carriers ni les polisseuses à domicile) : six scieries, modernisées durant les décennies 1880-1890 et localisées dans d'anciens moulins, et une dizaine de marbreries. Dans la région doloise, deux établissements se distinguent au 19e siècle : l'entreprise Ragoucy, de Belvoye (commune de Damparis), et la Société d'Exploitation des Carrières de Tinseau, fondée en 1857, d'une autre envergure. Reprise en 1870 par un parisien, Adolphe Violet, cette dernière emploie jusqu'à 500 personnes avant de disparaître au cours de la décennie 1890. A Molinges, à la société Dargaud et Compagnie fondée en 1849 succède à partir de 1865 la Compagnie de la Marbrerie de Molinges, d'Emile Gauthier. Son fils Nicolas développe l'affaire, exploitant la brocatelle de Chassal mais acquérant aussi, ou louant, des carrières à Pratz et Viry (Jura), Uchentein et Balacet (Ariège), Cazedarnes et Cessenon (Hérault), Baixas (Pyrénées-Orientales) et Cesana Torinese (en Italie, face à Briançon). Employant jusqu'à 120 ouvriers, la société peut ainsi proposer à ses clients de choisir entre 140 variétés de roches différentes. Le ralentissement des grands chantiers de construction parisiens, l'arrivée en force de nouveaux matériaux industriels et de nouveaux éléments de confort (chauffage central notamment), les deux conflits mondiaux, la nécessaire mécanisation de l'extraction (pour des roches qui ne s'y prêtent pas forcément) et de la fabrication sont autant de facteurs expliquant le déclin de la marbrerie jurassienne, encore aggravé par le traité de Rome (1957) qui valide la disparition des barrières douanières.
La concurrence de pays mieux armés, comme l'Italie, entraîne la disparition d'une bonne partie de l'industrie marbrière française. Dans le département, la société Ragoucy (devenue Société anonyme des Carrières et Usines de Belvoye et Corgoloin) disparaît en 1923 et seuls quelques ateliers artisanaux subsistent alors près de Dole. Reprise en 1920 par la société lyonnaise des Marbres, Pierres et Granits, elle-même absorbée en 1972 par le groupe Rocamat, l'usine de Molinges ferme en 1984 tout comme la carrière de Chassal, qui était exploitée en souterrain depuis 1928 (deux extractions ponctuelles à ciel ouvert ont encore été pratiquées en 1988 et 1996). Dans la dernière zone, des trois établissements restant dans les années 1920-1930 (Carron et Célard à Saint-Amour et Yelmini Artaud à Balanod), seul le dernier va résister grâce, notamment, à sa carrière de "Bleu de Savoie" (Aime, Savoie). Rachetant ses concurrents malheureux, il va finalement rationaliser sa fabrication en construisant une nouvelle usine à Saint-Amour, dernier représentant de cette industrie.
Période(s)
Principale :
- 19e siècle
- 1ère moitié 20e siècle
Description
Les carrières marbrières jurassiennes était exploitées à ciel ouvert : les morts terrains ("découverte") étaient dégagés puis, suivant la topographie, la disposition des bancs de pierre et l'évolution des techniques, l'extraction se faisait en gradins ou en fosse (comme à Damparis, Graye-et-Charnay et Pratz par exemple), nécessitant alors des grues pour sortir les blocs ébauchés. La carrière de Chassal fait exception : la valeur du matériau a permis une exploitation souterraine, à piliers perdus. Le travail du marbre s'effectuait ensuite successivement en deux lieux : la scierie et la marbrerie. Dans la première, les blocs sont rescindés en blocs plus petits ou débités en plaques ("tranches") à l'aide d'un châssis de scie multilames ("armure"). Ils peuvent alors être mis en forme dans l'atelier des marbriers, où se pratiquent débitage, moulurage, perçage, tournage, masticage, polissage, etc. Les usines sont situées à proximité immédiate d'un cours d'eau, nécessaire à la fois comme source d'énergie (pour actionner roues hydrauliques ou turbines) et pour la fabrication : à l'origine, le marbre n'est pas coupé mais usé par le frottement d'une lame en acier sur du sable arrosé d'eau. De nos jours, le travail avec des lames diamantées s'effectue encore en voie humide. Le bâtiment de la scierie est généralement à deux niveaux : les châssis multilames au rez-de-chaussée et leur système de descente des lames à l'étage. A Saint-Amour, il reprend le volume général et l'aspect des fermes bressanes voisines. Celui de la marbrerie associe de vastes ateliers largement ouverts, où prennent place les débiteuses et les grands polissoirs à plat, à un atelier plus fermé, où les marbriers travaillent avec un outillage à main. Le poids du matériau fait réserver les niveaux supérieurs au stockage des fournitures, des gabarits et autres modèles. Il requiert d'ailleurs généralement un système de transport et manutention performant (pont roulant, chariots sur rails, etc.), l'usine ayant de toutes manières besoin de beaucoup d'espace pour stocker blocs et tranches.
Source(s) documentaire(s)
-
12 J Fonds de la société d'Emulation du Jura
12 J Fonds de la société d'Emulation du JuraLieu de conservation : Archives départementales du Jura, Montmorot - Cote du document : 12 J -
M 3258 Statistique industrielle. 19e siècle.
M 3258 Statistique industrielle. 19e siècle.Lieu de conservation : Archives départementales du Jura, Montmorot - Cote du document : M 3258 -
M 3315 Statistique industrielle. 19e siècle.
M 3315 Statistique industrielle. 19e siècle.Lieu de conservation : Archives départementales du Jura, Montmorot - Cote du document : M 3315 -
M 3346 Statistique industrielle. 19e siècle.
M 3346 Statistique industrielle. 19e siècle.Lieu de conservation : Archives départementales du Jura, Montmorot - Cote du document : M 3346 -
Archives de la société Célard Marbres, Saint-Amour
Archives de la société Célard Marbres, Saint-AmourLieu de conservation : Archives de la société Célard Marbres, Saint-Amour -
Archives Marckt, Molinges
Archives Marckt, MolingesLieu de conservation : Collection particulière : Marckt, Molinges
-
Louvard, Sylvie ; Andlauer, Philippe. Marbres oubliés du Haut-Jura. Mémoire d’une économie perdue, 2008
Louvard, Sylvie ; Andlauer, Philippe. Marbres oubliés du Haut-Jura. Mémoire d’une économie perdue. - Lajoux : Parc naturel régional du Haut-Jura, 2008. 37 p. : ill. ; 18 x 21 cm. (Livret de découverte). -
Astre, Gaston. Les albâtres, 1948
Astre, Gaston. Les albâtres. - Toulouse : Museum d'Histoire naturelle, 1948. (Les Livrets du Museum ; 2). -
Bienmiller, Daniel. L'exploitation du marbre rose dans la région de Dole : les marbres de Sampans et Damparis, 1974
Bienmiller, Daniel. L'exploitation du marbre rose dans la région de Dole : les marbres de Sampans et Damparis. Travaux de la Société d'Emulation du Jura (1970-1972), 1974, p. 211-293 : ill. -
Charpy, Léon. Notice sur l'industrie de la marbrerie à St-Amour et sur les divers gisements de marbre dans le département du Jura, 1880
Charpy, Léon. Notice sur l'industrie de la marbrerie à St-Amour et sur les divers gisements de marbre dans le département du Jura. - S.l. : s.n., 1880. Publié, presque inchangé, dans le Bulletin de la Société des Sciences naturelles de Neuchâtel, 1881, t. XII, 2e cahier. -
Château, Théodore. Technologie du bâtiment ou étude complète des matériaux de toute espèce employés dans l'art de bâtir [...]
Château, Théodore. Technologie du bâtiment ou étude complète des matériaux de toute espèce employés dans l'art de bâtir [...] : tome premier. - Paris : Librairie d'architecture de B. Bance, 1863. XXIV-820 p. ; 22 cm. -
Corriol, Anne. Etude des carrières de marbre de Chassal, 1992
Corriol, Anne. Etude des carrières de marbre de Chassal. - [Grenoble] : Université de Savoie, 1992. 76 f. : ill. ; 30 cm. Mémoire de maîtrise : Sci. et Techn. : Grenoble : 1992. -
Darras, Maurice. La marbrerie. Caractéristiques des marbres, pierres et granits. Etudes des gisements et de l'exploitation des carrières. Travail et façonnage, 1912
Darras, Maurice. La marbrerie. Caractéristiques des marbres, pierres et granits. Etudes des gisements et de l'exploitation des carrières. Travail et façonnage. - Paris : Dunod et Pinat, 1912. -
Daville, Camille. Contribution à l'étude des carrières d'albâtre de St-Lothain, dites jadis Gissières, 1936
Daville, Camille. Contribution à l'étude des carrières d'albâtre de St-Lothain, dites jadis Gissières. Mémoires de la Société d'Emulation du Jura, 1936, p. 97-107. -
Favereaux, Raphaël ; Poupard, Laurent. Patrimoine industriel : Jura. 1998.
Favereaux, Raphaël ; Poupard, Laurent. Patrimoine industriel : Jura / Direction régionale des Affaires culturelles de Franche-Comté, Service régional de l'Inventaire général ; photogr. Jérôme Mongreville, Yves Sancey ; cartogr. Christophe Batardy. Besançon : Association pour la Promotion et le Développement de l'Inventaire comtois, 1998. 360 p. : ill., cartes ; 27 cm. (Indicateurs du patrimoine). -
Favereaux, Raphaël ; Poupard, Laurent. Franche-Comté, terre d'industrie et de patrimoine. 2021.
Favereaux, Raphaël ; Poupard, Laurent. Franche-Comté, terre d'industrie et de patrimoine / Région Bourgogne-Franche-Comté, Service Inventaire et Patrimoine ; photogr. Sonia Dourlot, Jérôme Mongreville, Yves Sancey ; dessins Mathias Papigny, Aline Thomas ; cartogr. Pierre-Marie Barbe-Richaud, André Céréza. Lyon : Lieux Dits, 2021. 416 p. : ill. ; 30 cm. -
Gadille, Rolande. L'industrie française de la pierre marbrière. 1968.
Gadille, Rolande. L'industrie française de la pierre marbrière. Paris : Les Belles Lettres, 1968. (Annales littéraires de l'université de Besançon ; 97) -
Héricart de Thury. Rapport sur l’état actuel des carrières de marbre de France, 1823
Héricart de Thury. Rapport sur l’état actuel des carrières de marbre de France. Annales des Mines, 1823, t. 8, p. 3-96. -
Janod, Roland. De la carrière de Chassal à la marbrerie de Molinges ou la naissance de la prolétarisation dans la basse vallée de la Bienne, 1989
Janod, Roland. De la carrière de Chassal à la marbrerie de Molinges ou la naissance de la prolétarisation dans la basse vallée de la Bienne. - Saint-Claude : Les Amis du Vieux Saint-Claude, 1989. Supplément au bulletin n° 12 de la revue des Amis du Vieux Saint-Claude. -
Julliard, Aurélien. Les carrières de Chassal et la marbrerie de Molinges : 1768-1984, 2007
Julliard, Aurélien. Les carrières de Chassal et la marbrerie de Molinges : 1768-1984. Travaux de la Société d'Emulation du Jura 2005-2006, 2007, p. 311-334 : cartes, ill. -
Marbres en Franche-Comté : actes des journées d’études, Besançon, 10-12 juin 1999, 2003
Marbres en Franche-Comté : actes des journées d’études, Besançon, 10-12 juin 1999 / Direction régionale des Affaires culturelles de Franche-Comté, Service régional de l’inventaire et Service régional de l’archéologie ; sous la dir. de Laurent Poupard et Annick Richard. - Besançon : Association pour la Promotion et le Développement de l’Inventaire comtois, 2003. 240 p. : ill. ; 30 cm. -
Le Mausolée : revue mensuelle des Arts et Techniques des Roches de qualité
Le Mausolée : revue mensuelle des Arts et Techniques des Roches de qualité, publiée par la société Le Mausolée, à Ternay -
Poupard, Laurent. Marbres et marbreries (Jura), 1997
Poupard, Laurent. Marbres et marbreries (Jura) / Direction régionale des Affaires culturelles de Franche-Comté, Service régional de l’Inventaire ; phot. Y. Sancey. - Paris : Erti, 1997. 63 p. : ill. ; 30 cm. (Images du patrimoine ; 169). -
Roches de France : pierres, marbres, granits, grès et autres roches ornementales et de construction, 1998
Roches de France : pierres, marbres, granits, grès et autres roches ornementales et de construction. - Ternay : Pro Roc, 1998. 225 p. : ill. 30 cm. -
Rousset, Alphonse. Dictionnaire géographique, historique et statistique des communes [...] du Jura, 1853-1858
Rousset, Alphonse. Dictionnaire géographique, historique et statistique des communes [...] du Jura. - Besançon : Bintot ; Lons-le-Saunier : Robert, 1853-1858. 6 t. en 6 vol.
À voir
Informations complémentaires
Thématiques :
- patrimoine industriel du Jura
- © Région Bourgogne-Franche-Comté, Inventaire du patrimoine
